Rétine artificielle, les essais se poursuivent
La rétine artificielle est un sujet qui fait couler beaucoup d’encre depuis des années. Or, depuis plus d'un an maintenant, tout semble s’être accéléré, notamment depuis qu’ont été dévoilés, fin 2019, les premiers succès d’implants rétiniens Prima sur des personnes atteintes de la forme sèche de la dégénérescence maculaire liée à l’âge (DMLA) à Paris. Après la France, c’est aux Etats-Unis qu'ont été réalisés en 2020 de nouveaux essais cliniques autour de cette même technologie. Fin 2020, une étude pivot européenne a obtenu le feu vert des autorités et devrait livrer ses premiers résultats 12 mois après son lancement. Revue de détails.
C'est au début du mois de janvier 2020 que la société française Pixium Vision, à l'origine de la technologie de rétine artificielle baptisée Prima, avait annoncé avoir réussi l’implantation de son système d'implant rétinien chez un premier patient américain atteint de DMLA sèche. Pour rappel, la dégénérescence maculaire liée à l’âge (DMLA) est une maladie de la rétine qui est la première cause de handicap visuel chez les plus de 50 ans dans les pays développés. La prévalence de la maladie augmente avec l’âge pour dépasser 25% de la population après 75 ans. À ce jour, il n’existe aucun traitement de la forme sèche de la maladie. Cette étude américaine s’est ainsi inscrite dans la continuité des études françaises de recherche clinique de faisabilité menées à Paris, à la Fondation Ophtalmologique de Rothschild et à l'Hôpital des Quinze-Vingts. Cinq patients atteints de DMLA sèche y ont en effet été implantés avec le système de rétine artificielle Prima. En juillet 2019, lors de la réunion annuelle de l’American Academy of Ophthalmology (AAO) à Chicago, les résultats à 6 mois avaient été rapportés. En fin d'année, les résultats de suivi d'un an indiquaient que les patients avaient peu à peu retrouvé une vision centrale et même que quelques-uns d'entre eux étaient capables de lire à nouveau. Un véritable espoir pour tous les patients atteints de cette maladie dégénérative.
Des essais cliniques pour évaluer le système PRIMA
Début janvier 2020, un nouvel essai clinique avait donc débuté aux Etats-Unis, au département d’ophtalmologie du centre médical de l’Université de Pittsburgh et au Miami Bascom Palmer Eye Institute. Cette étude de faisabilité américaine, similaire à l'étude clinique française, devait au total concerner cinq patients. Début mars 2020, le premier patient avait déjà été implanté et son système activé, tandis qu’un deuxième patient venait à son tour d’être implanté. A l'issue de cette étude américaine, les résultats devaient permettre de compléter les données cliniques du système Prima. Et ce, dans la perspective de déposer des demandes d’autorisation pour le démarrage d’une étude pivot en Europe.

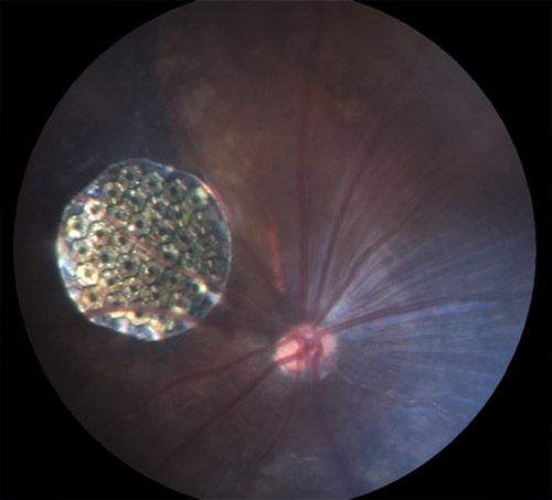
Implant photovoltaïque Prima (Pixium Vision) visualisé au fond de l’œil d’un rat. © J. Degardin / Institut de la Vision
Feu vert pour l'étude pivot PRIMAvera
Le 20 novembre 2020, Pixium Vision a annoncé avoir obtenu l'approbation de l'Agence nationale de sécurité du médicament et des produits de santé (ANSM) pour le lancement de cette étude pivot européenne baptisée PRIMAvera et destinée aux patients atteints de DMLA sèche. Objectif : confirmer la sécurité et l'efficacité du système de rétine artificielle Prima, dernière étape avant la demande d’autorisation de mise sur le marché européen (AMM). Cette étude clinique de confirmation doit porter sur un groupe de 38 patients. Elle comprendra un suivi sur trois ans et une évaluation des critères principaux 12 mois après l’implantation.
Comprendre la rétine artificielle avec Prima
Dans les maladies dégénératives de la rétine, dont la dégénérescence maculaire liée à l’âge (DMLA), les photorécepteurs sont endommagés. Or ces cellules sont indispensables à la vision : ce sont elles qui reçoivent la lumière et la transforment en activité électrique, avant que celle-ci ne soit envoyée au cerveau via le nerf optique. La rétine artificielle consiste donc à palier à la mort de ces cellules photoréceptrices en plaçant une puce électronique sous la rétine qui va prendre le relais du complexe processus de vision. Le système Prima, développé par la société française Pixium Vision, se matérialise donc par un implant sous-rétinien composé de 378 pixels, dont le but est de stimuler électriquement les cellules ganglionnaires à la place des photorécepteurs. Mais l'implant n'est qu'un élément du dispositif Prima : il s'accompagne également d'une paire de lunettes avec caméra extérieure qui envoie les informations à un mini-ordinateur de poche qui, lui, s’occupe de transférer les signaux qui ont été traitées aux électrodes placées sous la rétine, en contact avec le nerf optique. Au total, un dispositif complet et performant qui pourrait bien réaliser le rêve jusqu'à maintenant totalement impossible de nombreux patients atteints de DMLA : celui de recouvrer la vue.
Pixium Vision et Second Sight, la force de deux leaders de la restauration visuelle
Le 6 janvier 2021, les sociétés Pixium Vision et Second Sight Medical Products ont annoncé le rapprochement de leurs activités, créant ainsi un leader mondial de la restauration de la vision. Pour rappel, l'Américain Second Sight Medical Products, fondé en 1998, est le créateur d'Argus II, le premier dispositif à avoir reçu l'approbation de la FDA et le marquage CE pour la vision artificielle chez des personnes atteintes de rétinite pigmentaire.
Sources : Pixium Vision, études de faisabilité Prima sur la DMLA sèche.
Institut de la Vision, Rendre la vue aux aveugles, un scénario de plus en plus réaliste.
À lire aussi
Rétine artificielle, premiers espoirs confirmés !
Cela fait déjà plusieurs années que l'œil dit "bionique" suscite de nombreux espoirs pour lutter contre la cécité.
La dégénérescence maculaire liée à l'âge : DMLA
10 ans de l'Institut de la Vision, la recherche à grands pas
Si le temps de la recherche paraît souvent très long, et tout particulièrement pour les patients atteints de pathologies ne disposant d'aucun traitement, la recherche sur les maladies de la vision avance pourtant à vive allure.